町田のインプラント医院比較|全78院からおすすめを調査 » インプラント治療の種類について » 抜歯即時インプラントとは?
町田で受けられるクリニックもご紹介!

公開日: |最終更新日時:

抜歯即時インプラントとは?
町田で受けられるクリニックもご紹介!

従来の抜歯を伴うインプラント手術の場合、抜歯後の治癒を待ってインプラント体の埋入(まいにゅう)をおこなっていました。
しかし、近年では一定の条件を満たせば、抜歯と同時にインプラント体を埋入することも多くなっています。それが抜歯即時インプラントです。なぜ、この方法が実施されるようになってきたのか、メリットや注意点も含めて、解説していきます。

抜歯即時インプラントとは

抜歯をすると、歯槽骨(しそうこつ:顎骨の歯が生えている部分)には抜歯窩(ばっしか:歯が生えていた穴)ができます。
抜歯即時インプラントでは、抜歯をした直後に、その抜歯窩にインプラント体を埋入する方法のことです。従来のインプラント治療では、抜歯をおこなったあと、症状にもよりますが3ヶ月から4ヶ月程度、抜歯窩の治癒を待っていました。
それは、抜歯で組織などが傷ついている場所にインプラントを埋入すると炎症が発生し、インプラント体と顎骨の強固な結合(オッセオインテグレーション)が得られないのではないかとう言う危惧からでした。

しかし、近年の研究では抜歯後の治癒機転(ちゆきてん:骨の組織が治ろうとする反応)を利用することにより、むしろオッセオインテグレーションが促進されるという考え方に変化をしてきました。
そのため、現在では一定の条件を満たしていれば、抜歯即時インプラントを実施できるケースが多くなってきているのです。

抜歯即時インプラントのメリット

治療期間が短縮できる可能性

抜歯即時インプラントでは、インプラント治療の期間が短縮できる場合が多いです。従来のインプラント手術では、抜歯をしてから3ヶ月程度治癒期間を設けます。
その後、2回法であれば、歯肉を切開してインプラント体を埋入し、縫合。4ヶ月から6ヶ月後に再度切開をして、仮歯を入れる流れとなります。一方、抜歯即時インプラントの場合は、抜歯後の治癒を待つ必要はありませんし、すぐにインプラント体を埋入できて、同時に仮歯まで装着することもあります。
このように、抜歯即時インプラントは治療期間を数カ月程度短縮できる可能性があるのです。

骨の減少を防げる

抜歯後の歯槽骨は、噛む刺激がなくなります。そうすると骨は代謝をしなくなり、骨量が減少してしまうのです。
その結果、インプラント体を埋入する際に骨が足りなくなり、骨を増やす処置が必要になる場合があります。抜歯即時インプラントは、そのようなことも防止できます。

身体的な負担を減らせる

通常のインプラント手術では、歯肉を切開して、骨に穴を開てからインプラント体を埋入します。
一方、抜歯即時インプラントの場合は抜歯窩を利用するので、歯肉を切開する必要はありません。骨を削るなどの処置はおこないますが、最初から穴を開けるほどのダメージは無いでしょう。総合的に、通常のインプラント手術よりも身体的な負担は軽いと言えます。

抜歯即時インプラントの注意点

骨の状態が悪いと実施できない場合も

抜歯即時インプラントを実施するには一定の条件があります。それは、骨量があること、重度の歯周病や虫歯がないことです。
つまり、骨の状態が良くない場合にはオッセオインテグレーションが得られない可能性が高くなるので、抜歯後に骨造成や歯周病、虫歯の治療をおこなってからインプラント手術をおこなうことになります。

かみ合わせの状態や歯ぎしりなどの癖も要注意

かみ合わせが悪い、歯ぎしりや食いしばりの癖がある場合は、抜歯即時インプラントを受けられない場合があります。
これは、インプラントを埋入直後に、過度な力がかかってしまうと、オッセオインテグレーションが得られないことがあるからです。その場合、通常の方法での治療を検討することになります。

年齢を重ねた今だからこそ、噛める喜びをもう一度――。でも「本当にインプラントで大丈夫?」「どこで受ければいいの?」と不安になる方も多いはず。
           そんなあなたに、専門性・実績ともに信頼できる町田市の歯科医を3院を厳選しました。

抜歯即時インプラントが受けられる町田の歯科クリニック

町田エリアで抜歯即時インプラントに対応している歯科医院は非常に限られており、当サイトで取り扱っている全78院の中では3院でした。
抜歯即時インプラントは、歯を抜いたその日にインプラントを埋入する高度な専門治療で、骨の状態や初期固定など厳しい条件を満たす必要があるため、対応できる歯科医師は全国的にも多くありません。

ここでは、町田で抜歯即時インプラントに対応している貴重な3つの歯科クリニックについて、その特徴や治療体制を詳しくご紹介します。

宇藤歯科医院

宇藤歯科医院公式HPキャプチャ

画像引用元:宇藤歯科医院 公式HP(https://utoh-dental.jp/home/menu/implant/)

宇藤歯科医院では、歯を抜いたその日にインプラントを埋め込む「抜歯即時インプラント」に積極的に取り組んでいます。
抜歯と同時に埋入し、状態が良ければ当日に仮歯まで入れられる治療方針が採られており、治療期間を短縮したい方にも対応しやすい体制が用意。
骨の状態を細かく見極めながら進めるため、スピーディかつ精度の高い治療が受けられる点が特徴です。

抜歯即時インプラントの費用

インプラント1本当たりは550,000円(税不明)となっており、抜歯即時インプラントの場合、これに追加費用が掛かる場合があります。詳細は直接お問い合わせください。

抜歯即時インプラントの症例

抜歯即時インプラントの症例写真は、公式サイトでは公開されていませんでした。詳細な症例はカウンセリング時に個別に確認してください。

基本情報

所在地

東京都町田市原町田6-3-3町映ビル4F

アクセス 最寄り駅からのアクセスは公式ホームページに記載がありませんでした。
診療時間

平日:9:00〜13:00/14:00-18:00
土曜:9:00〜13:00/14:00〜17:00

休診日 日曜
電話番号 042-721-6474
駐車場の有無 近隣のコインパーキングを利用

ワイズデンタルオフィス

たかしま歯科公式HPキャプチャ

画像引用元:たかしま歯科 公式HP(https://www.150000.jp/implant/)

ワイズデンタルオフィスでは、抜歯と同日にインプラントを埋め込む治療が行われており、実際の治療例でも抜歯即時インプラントが採用されています。
精密診断を重視し、歯科用CTやマイクロスコープを活用した検査を行うことで、抜歯直後のタイミングでも治療が可能かどうかを丁寧に判断してもらえます。
治療期間を短くしたい方や、抜歯後の期間を空けたくないケースに適した方針です。

抜歯即時インプラントの費用

抜歯即時インプラントの明確な費用は公開されていませんが、症例ではインプラント1本495,000円(税込)が参考になります。
骨移植や補綴の有無によって総額は変わるため、詳しい費用は診察時にご確認ください

抜歯即時インプラントの症例

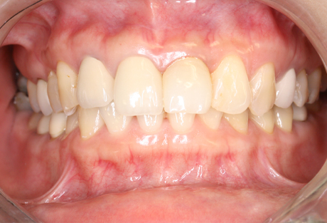
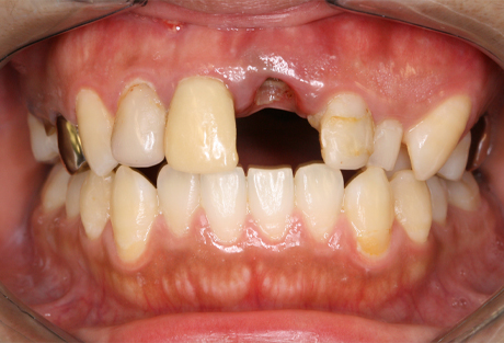
前歯の歯根破折に対する抜歯即時インプラント(1歯欠損)
Before After
治療前(Before)

引用元:ワイズデンタルオフィス 公式HP(https://www.ys-dental.com/treatment/implant.html)

治療後(After)

引用元:ワイズデンタルオフィス 公式HP(https://www.ys-dental.com/treatment/implant.html)

他院で前歯の治療を受けたものの、根が短い歯を無理に残したことで、治療から1年も経たずに歯根破折が起こり、前歯が脱落してしまったケースです。
抜歯と同時にインプラント埋入を行い、審美性を高めるために前歯4本をセラミックで仕上げました。

主訴 前歯が外れた/見た目が気になる
治療内容 抜歯と同時にインプラント埋入(抜歯即時埋入)+ 骨移植 + セラミック4本補綴
治療期間 約4ヶ月
治療費用 インプラント:¥495,000(税込)
骨移植:¥165,000(税込)
セラミック4本:¥440,000(税込)
注意点・リスク 左右の歯に歯周病がみられ、1本のみの治療では見た目のバランスが崩れる可能性があったため、 セラミック4本で全体の調和を重視した補綴を実施。 抜歯即時インプラントは骨の状態や感染の有無などの条件により適用できない場合があります。

基本情報

所在地 東京都町田市森野1-24-13ギャランフォトビル2F
アクセス JR横浜線町田駅より徒歩5分
診療時間 9:30~13:30/15:00~19:00 土15:00~18:00
休診日 木曜・日曜・祝日
電話番号 042-727-6474

たかしま歯科

たかしま歯科公式HPキャプチャ

画像引用元:たかしま歯科 公式HP(https://www.150000.jp/implant/)

たかしま歯科では、歯を抜いた直後にインプラントを埋め込む治療を採用しており、初期固定が得られる症例では抜歯即時インプラントが選択されています。
治療期間の短縮を重視したプランを提供しており、必要に応じて骨造成にも対応。多様な症例に柔軟に適応できる体制が整っていることが特徴です。

抜歯即時インプラントの費用

インプラント治療自体は1本16万5千円(税込)~との案内がありますが、抜歯即時インプラントの追加費用・適用条件に関しては明確な金額提示はされていません。治療内容・症例によって変動しますので、診断時に詳細をご確認ください。

抜歯即時インプラントの症例

抜歯即時インプラントの症例写真は、公式サイトでは公開されていませんでした。詳細な症例はカウンセリング時に個別に確認してください。

基本情報

所在地 神奈川県相模原市南橋本1-6-2 鈴木ビル1F
アクセス JR相模線「南橋本駅」より徒歩3分
診療時間 平日10:00~18:30/土曜9:00~17:00
休診日 水・日・祝
電話番号 042-705-8211
町田でインプラント治療を受けるならおすすめ歯科医3

難しい症例でも
相談できる

まえだ歯科前田尊臣 院長

国際口腔インプラント学会
(DGZI)認定医

まえだ歯科 前田尊臣医院長
引用元:まえだ歯科公式HP(https://www.maeda-dc.com/staff.html)
こんな方におすすめ
他院でインプラント治療を
断られた
  • 難しい症例でも適切に対応
    他院で断られるケースの多い、骨の少ない難しい症例でも治療した実績多数。
  • 1日で噛めるようになる治療
    まえだ歯科では、希望があれば埋入したその日から噛めるようになる1Dayインプラントに対応。
  • 痛みに配慮した治療
    治療への不安や負担を少しでも和らげられるよう、局所麻酔を使用するなど痛みに配慮した手術を心がける。

TEL:042-850-7871

公式HPで
治療費用を見る

担当医師の
プロフィール
を見る

電話で相談する

アレルギーの
少ない素材で治療

町田エス歯科クリニック大口 慧士院長

日本口腔インプラント学会
所属

町田エス歯科クリニック 大口 慧士院長
引用元:町田エス歯科クリニック公式HP(https://m-sdc.com/about-sdc/doctor/)
こんな方におすすめ
チタンアレルギーが
気になる
  • 人体と親和性の高いジルコニアを使用
    インプラントに使われるチタン合金のアレルギーが心配な方に向け、ジルコニアを使ったインプラントを用意。
  • 入れ歯に対応するインプラントあり
    外れやすい、噛めないといった入れ歯を数本のインプラントで固定する治療法も用意。
  • オペ室を完備
    インプラント治療や精密顕微鏡治療の際に使用する滅菌が施されたクリーンなオペ室を完備。

TEL:042-812-2555

公式HPで
治療費用を見る

担当医師の
プロフィール
を見る

電話で相談する

土・日診療で
通いやすい

協同歯科クリニック田所久永 院長

日本口腔インプラント学会
専修医

協同歯科クリニック 田所久永院長
引用元:協同歯科クリニック公式HP(https://haisha-yoyaku.jp/bun2sdental/detail/index/id/1333245149/tab/4/)
こんな方におすすめ
治療後のメンテナンスで
定期的に通えるか不安
  • 平日の通院が難しい場合でも安心
    平日は忙しく治療後のメンテナンスに通えるか心配でも、共同歯科クリニックなら土曜、日曜は17時まで診療しているので定期的に通院できる。
  • インプラント体の開発に携わる
    インプラントメーカーが海外製が一般的な中、共同歯科クリニックは日本人向けのインプラント開発母体。
  • 治療の度に先生が変わらない担当医制
    担当医制を採用しているため、口の中の状態を把握する先生が治療にあたってくれる。

TEL:042-735-4208

公式HPで
治療費用を見る

担当医師の
プロフィール
を見る

電話で相談する